Crowns and Bridges
At Davis Family Dentistry, we focus on prevention to help you avoid many dental issues. For most patients, however, there comes a time when their teeth may need to be repaired.
If your issue is beyond the scope of what a dental filling can solve, Dr. Kurtis or Dr. Joanne may recommend a crown for you.
The good news is that a crown at Davis Family Dentistry is no longer the lengthy process it used to be. Believe it or not, we can send you home with a fully functioning and esthetically pleasing new tooth after one short appointment!
What Is a Dental Crown?
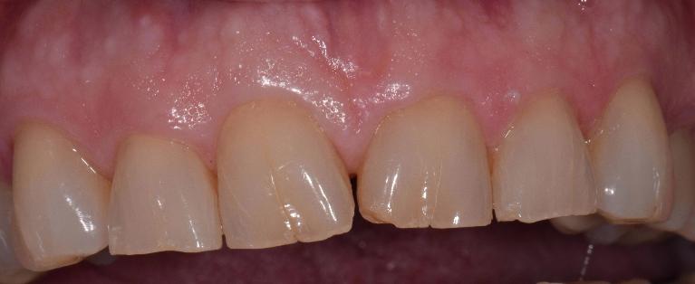
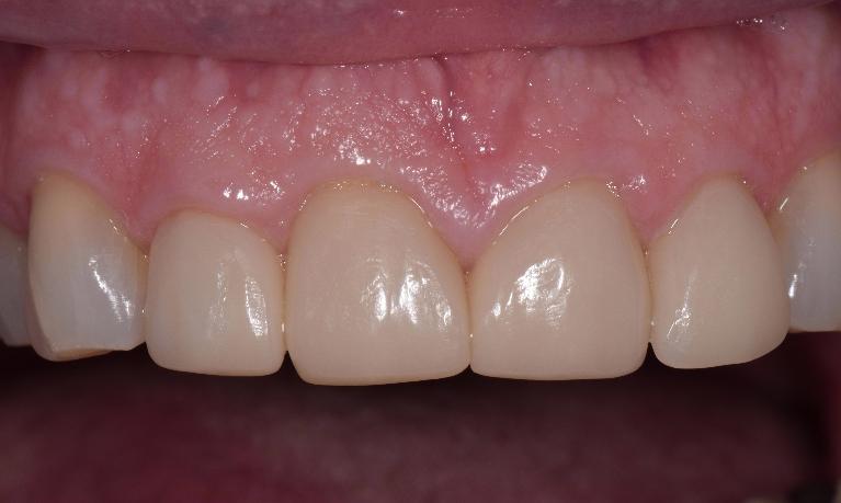
A dental crown is made to take the place of your entire tooth, and it covers your remaining tooth structure like a cap. It not only offers you similar function compared to your natural tooth; it also protects the integrity of your root. Our doctors customize your tooth to match your existing teeth not only in shade and color but also in form and function. This means that you’ll be eating, chewing, flossing, and brushing just as you always have.
What Is a Dental Bridge?
If you are missing one or more neighboring teeth, a dental bridge may be a good solution. A bridge utilizes crowns as anchors with prosthetic teeth attached to fill in the space. It’s important to keep those anchor crowns clean and healthy to ensure the longevity of your bridge.
Dental implants can also be used as anchors to support a bridge. They provide a more secure fit while also helping your bone remain healthy and stimulated.
CEREC One-Day Restorations
If you’ve had a crown in the past, you may remember that it was quite a lengthy process. It required at least two appointments, a temporary crown, and approximately two to four weeks to complete. If your temporary crown broke or fell out, additional appointments were required for repair.
CEREC is the revolutionary technology that allows us to complete your restoration in just one appointment. 3-D imaging allows us to scan an image of your tooth directly to our computerized milling machine located in our office. CEREC will manufacture a high quality porcelain crown designed to our doctors’ specifications while you wait.
The benefits CEREC offers include:
- Far less time is needed to receive a restoration.
- No messy impressions are needed, which means the procedure is more comfortable for patients.
- 3-D imaging allows for more precision and accuracy when designing your restoration.
- A number of restorations can be completed with CEREC technology, including crowns, bridges, veneers, onlays, inlays, and dental implant crowns.
Contact Davis Family Dentistry
If you find yourself with a tooth in need of repair, give Davis Family Dentistry a call to learn more about how CEREC can help you.